Рак легких на рентгеновских снимках

Рак легких на рентгеновских снимках
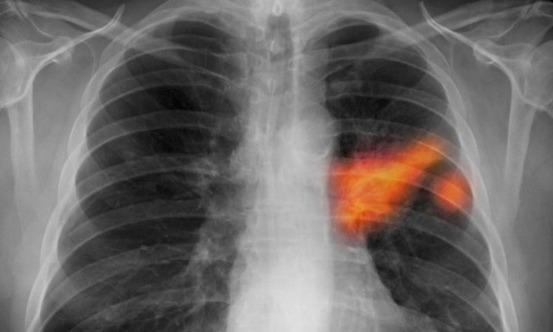
Рентген легких при онкологическом заболевании не всегда оказывается информативным, то есть способен демонстрировать затемнение или просветление. Кроме того, первая степень патологии также определяется далеко не всегда, за счет незначительных размеров новообразования до 5 мм. Несмотря на это, рентгенография является одним из самых достоверных методов диагностики рака на любой стадии. Для того чтобы результаты оказались максимально достоверными, рекомендуется осуществлять исследование не только в прямой, но и в боковой проекции.
Начальная стадия болезни

Успешность постановки диагноза на представленном этапе напрямую ассоциируется с корректным применением рентгеновского оборудования. Также очень важно правильно предположить локализацию новообразования (на основе существующих симптомов). Следует учитывать, что именно ранняя идентификация патологии способна сохранить человеческую жизнь. На счет видимости рака легких на рентгене, следует обратить внимание на следующие нюансы:
- на рентгеновском снимке не будет виден такой узел, который располагается внутрибронхиально. Единственным признаком, формирующим представление о патологии, следует считать гиповентиляцию одного из легочных сегментов;
- средостенное расположение узлового формирования выглядит как неоднородное затемнение. Ему характерна средняя степень интенсивности и сливание с грудной клеткой;
- такой форме рака свойственны определенные характеристики: примыкание диаметра тени обширной частью к грудине, наличие острого угла между грудной клеткой и затемненной частью;
- на начальном этапе рака легочной системы на боковой проекции грудины присутствует тень, по форме напоминающая шар.
При раке легких, рентген далеко не всегда в состоянии со 100% достоверностью определить патологию. Именно поэтому специалисты настаивают на ряде дополнительных обследований, которые вместе с описываемым методом, сформируют полноценную картину. Говоря об этом, обращают внимание на КТ, МРТ и радиосцинтиграфию.
Центральная форма рака легких на снимке
Идентификация центрального рака легких возможна по целому перечню, так называемых, рентгенологических симптомов. Речь идет о дестабилизации вентиляции, инфильтрации (выглядит на снимке, как темное пятно) и компенсаторной воздушности участков, находящихся поблизости. В целом, синдромы злокачественного формирования определяются как типичные, а потому постановка диагноза не вызывает затруднений.
При центральной форме рака четко идентифицируется начальное узловое формирование (имеет бугристый контур и неоднородное строение). Присутствуют изъязвления с какой-либо из сторон. Также следует учитывать, что инфильтрация легочных тканей без начальных узлов не должна восприниматься как отсутствие онкологии. При диагностировании центральной формы рака легких следует обратить внимание на то, что:
- специфическая воздушность формируется вследствие необходимости усиления респираторных функций. При этом поражается какая-либо одна из частей данной системы;
- в случае сдавливания раковым узлом окружающих органов, формируется определенный объем жидкости в плевральной полости. Это естественный отклик организма на дестабилизацию выведения лимфатической жидкости;
- вероятны ошибки, связанные с тем, что злокачественное формирование принимают за туберкулезный инфильтрат. Однако в первом случае будут очевидны деструктивные очаги, появляющиеся на фоне воспалительных теней;
- опухолевому затемнению характерен специфический фестончатый контур.

Для того чтобы еще лучше понимать, как выглядит рак легких, необходимо обратиться к «внешнему виду» доброкачественных формирований. Следует обратить внимание на наличие ровного округлого пятна правильной формы с четкими контурами. В целом, рентгенологические данные будут целиком и полностью зависеть от формы роста новообразования, которое, к примеру, может быть разветвленным, узловым, перибронхиальным и не только.
При центральном типе рака на рентгене видны такие изменения, как затемнение, отсутствие какой-либо разницы между границей кардии и диафрагмы. Помимо этого, идентифицируется изменение, связанное с положением диафрагмы и сердечной мышцы. Это касается начальной формы, в то время как на более поздних этапах не заметить значительный по своим размерам опухолевый узел просто невозможно.
Затемненный узел может характеризоваться различной величиной и формой. В случае расположения пятнышка на периферии, ему характерна овальная форма. В некоторых ситуациях тень узла с непропорциональной формой может располагаться вблизи от средостения. О том, что рентген легких в этом случае точно определил злокачественное новообразование легких, свидетельствуют некоторые признаки:
- уменьшение просвета бронхов, принимающее форму конуса;
- проксимальное сближение сосудов, которые отклоняются новообразованием;
- гиповентиляция бронхов, которые оцениваются, как закупоренные, что естественным образом снижает степень интенсивности затемнения;
- спадение пораженного участка легкого (ателектаз).
В случае развития экзобронхиального новообразования, на рентгенограмме будут очевидны другие признаки: бугристые узловые формирования в прикорневой области, лучистые контуры (так называемый синдром «восходящего солнца»). Кроме того, патология ассоциируется со стандартными признаками: гиповентиляция, сужение бронхиального просвета и увеличение размеров корневых лимфатических узлов.
Если будет присутствовать хотя бы один из признаков, представленных ранее, настоятельно рекомендуется сразу же выполнять МРТ или КТ для подтверждения диагноза. Отправлять же пациента на соответствующую диагностику спустя определенный промежуток времени не рекомендуется. Это связано с высокой вероятностью увеличения формирования в размерах, появлением метастазов в соседних органах.
Перибронхиальная опухоль

При перибронхиальной форме рентгеновские снимки также являются весьма информативными. Основные признаки: тяжи, идущие от корневой части к периферическому отделу, утолщение бронхиальных стенок, увеличение новообразования по ходу стенки бронхиального дерева. Еще одним доказательством перибронхиальной формы следует считать отсутствие гиповентиляции.
В том случае, когда не получается идентифицировать новообразование за счет применения рентгена, осуществляется диагностическая торакотомия. В связи с этим специалисты обращают внимание на то, что:
- легочный сегмент может и должен проверяться исключительно после совместной консультации онкологов и рентгенологов;
- онкология легких на рентгене может быть связана с новообразованием Панкоста;
- речь идет об округлом формировании, которое находится в области ключицы. Оно сопровождается поражением, как ребер, так и верхних позвонков;
- утверждать о подобной патологии можно исключительно после изучения степени проходимости бронха в верхней доле при помощи методики бронхоскопии.
При наличии смешанной формы на рентгене легких выявляется значительное количество специфических признаков. Это может быть бронхиальная культя, инфильтративное узловое формирование, перифокальная форма воспаления легких. Помимо этого, на рентгене очевидным является нарушение степени проходимости бронхов, выпот в плевральной полости, а также изменение в большую сторону размеров лимфоузлов.
Если рентгеновский снимок демонстрирует подобные изменения, настоятельно рекомендуется озаботиться осуществлением КТ. Представленная методика дает возможность оценить степень распространенности процесса, а также изучить изменения окружающего тканевого покрова.
Сложности при выявлении рака легких
Как уже отмечалось ранее, на начальной стадии злокачественное новообразование в легочной системе может не диагностироваться. Это напрямую связано с тем, что патология на протяжении своего изменения будет протекать в три стадии: биологической, доклинической и клинической стадиях. В рамках первого этапа происходит изменение в клеточном геноме, незначительное деление клеток. Подобные симптомы никак не обнаруживаются рентгеновскими лучами.

Показать что-либо такая диагностика не может и на доклиническом этапе, потому что отсутствуют симптомы поражения. В то время как уже на клинической стадии можно идентифицировать признаки злокачественных трансформаций. Настоятельно рекомендуется обратить внимание на следующие нюансы:
- на первых двух стадиях патологии качественное лечение и даже спасение человеческой жизни является вполне осуществимым. Однако диагностика патологии проблематична, особенно если из диагностических инструментов используется только рентгеновский аппарат;
- центральная форма рака будет прорастать внутрь бронхиального просвета, в то время как на прямом типе рентгенограммы будет «прятаться» кардиальная тень;
- для того чтобы не пропустить подобную патологию, настоятельно рекомендуется осуществлять исследование в двух проекциях;
- на боковом снимке идентифицируется легочный ателектаз и мутация корневой структуры.
Подобные изменения в рамках обследования легких возможны, если новообразование прорастает внутрь легочных тканевых структур, у больного отсутствуют болезненные ощущения, однако рентген указывает на присутствие дополнительного злокачественного узла. Основными видами патологии в этом случае следует считать верхушечную (Панкоста) и полостную формы. Последнее формирование может достигать 10 см и по структуре напоминать кистозное формирование, абсцесс или туберкулез.
Таким образом, ответ на вопрос, показывает ли рентген онкологическое заболевание легочной системы, очевиден: для получения максимально достоверных результатов, очень важно вовремя обратиться за врачебной помощью и провести полноценное обследование. В таком случае шансы на спасение жизни увеличиваются.
Published at Thu, 17 Aug 2017 20:25:58 +0000


