Причины появления хронического миелоидного лейкоза и методы его лечения

Причины появления хронического миелоидного лейкоза и методы его лечения
Злокачественная миелопролиферативная патология с преимущественным поражением гранулоцитарного ростка – хронический миелолейкоз. Он может быть выявлен не только у взрослой категории населения, но и у детей. Пик диагностики заболевания приходится на возраст 30–55 лет, тогда как малыши младше 8–10 лет болеют им крайне редко.
Долгое время хронический миелоидный лейкоз может никоим образом не проявляться. Он становится случайной находкой при проведении профилактического медицинского осмотра. Гендерной приверженности у патологии не отмечается – одинаковая частота случаев, как у женщин, так и у мужчин. У части пациентов диагноз выставляется уже на заключительном этапе миелолейкоза, что значительно сужает возможности терапии.
Какова этиология

Специалистами была достоверно выявлена взаимосвязь между формированием ХМЛ и определенными генетическими сбоями. Так, «филадельфийская хромосома», хромосомная транслокация является первопричиной 90–95% выявленных случаев заболевания.
Ее суть состоит во взаимной замене 9 и 22 звеньев хромосомного набора. Итогом подобного перемещения становится формирование устойчивой открытой рамки считывания. Это, в свою очередь, провоцирует существенное ускорение процессов деления элементов крови с одновременным подавлением механизма самовосстановления ДНК. Риск формирования иных генетических аномалий на этом фоне значительно возрастает.
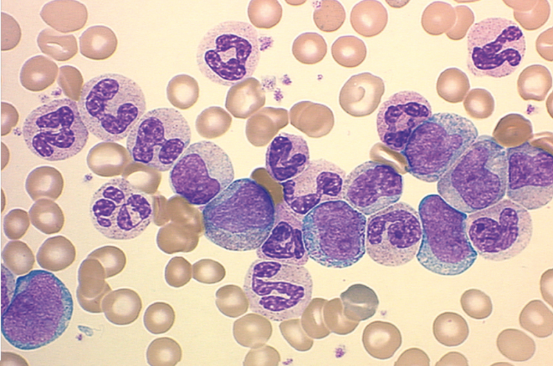
Хронический миелолейкоз – это опухолевое новообразование, образующееся из самых ранних миелоидных клеток. При этом типичным признаком является повышение в кровяном русле параметров специфической разновидности лейкоцитов – гранулоцитов. После формирования в красном костномозговом отростке, они в еще несозревшем виде перемещаются в кровь в огромных количествах. Тогда как нормальные лейкоциты вырабатываются в малых объемах.
Основные причины
Безусловно, первопричиной формирования хронической миелоидной патологии выступает сбой в хромосомном наборе человека. Однако, подтолкнуть к подобному состоянию способны не так уж много негативных факторов. Специалисты указывают на следующие:
- радиоактивное облучение – среди работников атомных электростанций процент заболевших намного выше, этот факт всесторонне изучался специалистами различных отраслей;
- воздействие электромагнитных лучей и веществ химического происхождения, к примеру, пестицидов, инсектицидов;
- наследственная предрасположенность, особенно у близких родственников людей, страдающих синдромом Дауна либо Клайнфелтера;
- продолжительный прием отдельных подгрупп медикаментов, к примеру, цитостатиков, алкенов, альдегидов.
Предрасполагающим фоном может послужить многолетний стаж курильщика либо тяжелая алкогольная зависимость. Теория о влиянии отдельных вирусов не нашла своего подтверждения.
Большинство специалистов придерживается мнения, что причиной недуга все же является исходная генетическая нестабильность в организме того или иного человека.
Фазы заболевания

Нарастание симптомов лейкоза миелоидной формы происходит в три последовательные фазы:
- Латентная либо хроническая. Ее продолжительность может составлять 3.5–5 лет. Симптоматика настолько не выражена, что человек может даже не придавать особого значения незначительному ухудшению собственного самочувствия, списывая все на иные причины, к примеру, перегрузку на работе. Как правило, патология в этот период диагностируется случайно – при сдаче анализов крови во время профилактических медицинских осмотров. Фаза отличается стабильностью, адекватное лечение позволяет продлевать ее до максимально возможных сроков.
- Фаза акселеративных проявлений – характеризуется существенной активацией патологических процессов. В кровяном русле быстро увеличиваются параметры недозрелых лейкоцитов. Продолжительность фазы невелика – около полутора лет. Однако, возможен возврат к хроническому этапу при вовремя начатых лечебных процедурах.
- Терминальная фаза – на протяжении полугода наблюдается быстрое замещение красных костномозговых элементов на атипичные злокачественные клоны. Прогноз крайне неблагоприятный, ваза заканчивается летальным исходом.
В целом для патологии свойственен лейкемический сценарий течения.
Симптоматика хронической стадии
Практически бессимптомное течение отличает начальный этап заболевания. Человек может отмечать, что у него упорно сохраняется слабость, даже при адекватном режиме труда и полноценном отдыхе. Наблюдается некоторое общее недомогание, может понижаться трудоспособность.
Постепенно изменяются параметры веса в сторону похудания, возникает чувство переполненности в животе, беспокоит тошнота. По мере увеличения селезенки в левой половине живота могут появляться болевые импульсы, прощупываться опухолевидный очаг.
В проводимых анализах крови определяется повышение объема гранулоцитов, а также некоторое понижение параметров гемоглобина. При лабораторном исследовании мазка крови будет отмечаться преобладание миелоцитов наряду с промиелоцитами и миелобластами.
Симптомы хронической фазы недуга:
- связанные с нарушением функции тромбоцитов и лейкоцитов – кровотечения различной интенсивности и локализации, формирование тромбоцитарных скоплений;
- признаки, свойственные гипертромбоцитемии – болевые импульсы в различных районах головы, упорные головокружения, ухудшение памяти, нарушение внимания, возможно внезапное развитие инфарктов, инсультов, изменение параметров зрения.

Внимательное отношение к собственному здоровью и своевременное обращение к специалисту помогают диагностировать недуг на этой стадии, существенно замедлить прогрессирование патологии.
Симптоматика стадии акселерации
О переходе заболевания на следующую стадию будут свидетельствовать не только изменение лабораторных анализов, но и значительное ухудшение самочувствия больного.
Основные симптомы этапа акселерации:
- неуклонное нарастание слабости;
- существенное увеличение размеров печени, а также селезенки;
- типичные проявления анемии – бледность покровных тканей, быстрая утомляемость, чрезмерная склонность к кровоточивости;
- в кровяном русле, несмотря на лечебные мероприятия, наблюдается нарастание объемов метамиелоцитов и миелоцитов, возможно также появление единичных бластных клеток.
Все вышеперечисленные негативные проявления и заставляют человека чаще всего обращаться за консультацией к специалисту. А проведенные диагностические исследования подтверждают либо опровергают предварительное заключение.
Симптоматика бластного криза
В терминальной стадии хронический миелолейкоз сопровождается быстрым значительным ухудшением состояния человека. Помимо появления новых хромосомных аномалий наблюдается нарастание клеточного атипизма. При этом ростки кроветворения максимально угнетены. Проявления тромбоцитопении и анемии значительно выражены. На этом фоне присоединяются тяжелые кровотечения, а также инфекционные осложнения.
Типичные жалобы онкобольных:
- резкая слабость, невозможность выполнять даже простую работу по дому;
- болевые импульсы по всему телу, особенно в костных структурах, позвоночнике, животе;
- обильные, буквально проливные, ночные поты;
- колебание параметров температуры, с подъемом до высоких цифр;
- периоды ознобов;
- чрезмерная кровоточивость с формированием кровоизлияний под кожу;
- размеры селезенки быстро нарастают – человек может даже самостоятельно ее прощупать.
Миелоз на этом этапе настолько характерен, что затруднений с диагностикой не возникает. Однако, предпринимаемые лечебные мероприятия уже направлены на облегчение самочувствия пациента, поскольку прогноз крайне неблагоприятен.
Диагностика

Тщательно собрав жалобы пациента, его семейный, личный и профессиональный анамнез, гематолог рекомендует к проведению различные лабораторные и инструментальные исследования для дифференциальной диагностики.
Хронический миелоидный лейкоз требует комплексного обследования:
- оценить количество неизмененных клеток в кровяном русле и функционирование отдельных органов позволяют анализы крови – общий и биохимический;
- визуализировать состояние селезенки, печени, иных структур помогают рентгенография, а также УЗИ, к более современным методам относят КТ и МРТ;
- спинномозговая пункция будет показывать наличие атипичных клеток в районе костного мозга;
- взятие образца костного мозга дает максимальное количество информации, процедуру обязательно проводят при подозрении на хронический миелолейкоз, суть заключается в заборе биоматериала методом биопсии;
- тип лейкемии будет определяться проточной цитометрией.
Окончательный диагноз выставляется только после проведения хромосомных тестов – исследование ДНК крови, костного мозга путем выявления филадельфийской хромосомы. С этой целью могут быть использованы – ПЦР диагностика, флюоресцентная гибридизация либо цитогенетический анализ.
При отрицательных результатах и нетипичном течении патологии специалистом может быть выставлен диагноз недифференцированного миелопролиферативного расстройства.
Тактика лечения
Во многом лечение заболевания крови зависит от фазы недуга, а также выраженности клинических проявлений. Так, на начальном этапе, когда симптоматика маловыражена, а лабораторные изменения ограничиваются понижением гемоглобина и легким отклонением в параметрах лейкоцитов, вполне допустимы общеукрепляющие мероприятия.
Специалистом будут рекомендованы:
- тщательное соблюдение щадящего режима труда;
- обеспечение полноценного ночного отдыха;
- коррекция рациона – максимальное насыщение различными витаминами и микроэлементами;
- при патологическом повышении в кровяном русле видоизмененных лейкоцитов проводится терапия Бусульфаном, в дальнейшем, после уменьшения параметров селезенки и коррекции цифр лейкоцитов медикамент назначается курсами с поддерживающей целью.
В прогрессирующей фазе патологии допустимо использование одного химиопрепарата. Однако, чаще подбирается комплексная терапия из нескольких химиолекарств. Их онкобольной принимает до стабилизации лабораторных показателей. В последующем специалистом будут рекомендоваться лишь поддерживающие дозы. Подобные курсы полихимотерапии, как правило, повторяются не менее 3–4 раз за год.

Если подобные мероприятия не приносят существенного улучшения самочувствия, прибегают к помощи облучения. Процедура основывается на использовании гамма-лучей. Их задача – воздействуя на зону расположения селезенки, остановить рост или уничтожить атипичные клетки.
В фазе бластного криза будет показано проведение спленэктомии. Подобное вмешательство позволяет существенно улучшить течение патологии, эффективность фармакотерапии возрастает. При максимальных параметрах атипичных лейкоцитов проводится и лейкоферез.
Достичь продолжительной ремиссии на сегодняшний день удается только после проведения пересадки костного мозга. Процедура довольно дорогостоящая, возможна далеко не всегда. Показания и противопоказания определяются специалистом индивидуально.
Каков прогноз
Судить о прогнозе в том или ином случае специалистам бывает затруднительно. Требуется учесть множество факторов. Определяющим, безусловно, является момент обращения человека за медицинской помощью, а также когда было начато лечение.
В качестве прогностически неблагоприятных признаков рассматривается гепатомегалия, а также спленомегалия, выраженный лейкоцитоз и тромбоцитопения, присутствие в кровяном русле огромного количества бластных клеток.
По мере ухудшения самочувствия онкобольного и лабораторных показателей вероятность неблагоприятного исхода многократно возрастает. Причиной летального исхода будут являться присоединившиеся инфекционные патологии, тяжелые профузные кровотечения.
После выставления диагноза на этапе акселерации продолжительность жизни человека не превышает 2–2.5 лет, а в стадии бластного криза и того меньше – около 4.5–6 месяцев. Показатель может быть существенно увеличен за счет своевременно начатых лечебных мероприятий, перевода патологии в фазу хронического течения. Человек в этом случае может прожить еще несколько лет.
Профилактика

Общих профилактических мероприятий по предупреждению возникновения хронического течения миелолейкоза на сегодняшний момент не существует. Патология возникает внезапно, после сбоя в хромосомном наборе человека. Предугадать подобное попросту невозможно.
Однако, специалистами выдаются такие рекомендации по профилактике:
- скорректировать рацион;
- избавиться от вредных привычек;
- следить за своим иммунитетом, вовремя принимать витаминные комплексы, закаливать организм;
- при имеющихся соматических патологиях – добиваться их перевода в стадию ремиссии;
- не злоупотреблять лекарственными препаратами – их необходимо принимать строго по назначению лечащего врача;
- избегать продолжительных контактов с химическими веществами, радиацией.
Особенно тщательно необходимо следить за своим здоровьем людям, чьи кровные родственники уже страдают от онкозаболеваний, в том числе системы кроветворения.
Published at Wed, 11 Oct 2017 07:46:30 +0000


