Может ли показать флюрография рак легких?
Может ли показать флюрография рак легких?
Рак легких считается распространенным заболеванием, которое развивается под воздействием различных факторов. Знание характерных симптомов такого недуга дает возможность вовремя обратиться за медицинской помощью и начать эффективное лечение. Именно ранняя диагностика обеспечивает успешность лечения онкологического заболевания и дает пациенту шансы на долгую жизнь. Узнать, показывает ли флюорография рак легких, можно лишь разобравшись в особенностях такого метода и показаниях к проведению.
Диагностика патологии

Диагностировать у пациента рак легких – непростая задача, поскольку такая патология имеет схожие признаки с иными заболеваниями. В самом начале развития онкологического процесса ярко выраженная симптоматика обычно отсутствует и пациент не спешит за медицинской помощью. Обычно беспокоит кашель, но пациенты связывают это с простудными заболеваниями.
Постепенно кашель становится насадным и с ним не удается справиться с помощью лекарственных препаратов. Характерными проявлениями рака легких становится мокрота, которая окрашивается в темно-желтый цвет с зеленоватым оттенком, и в ней могут появиться кровяные сгустки
При раке легких пациент жалуется на появление следующей симптоматики:
- дыхание со свистом;
- низкий аппетит либо его полное отсутствие;
- скачки температуры тела;
- болевые ощущения при приступах кашля;
- постоянная одышка;
- слабость и вялость.
При дальнейшем прогрессировании патологии даже привычное дыхание сопровождается сильной болью, и пациент начинает терять вес. Голос приобретает охриплость, появляются проблемы с глотанием и возможен цианоз верхней половины тела.
Со временем больной все обращается за помощью к специалисту и для постановки точного диагноза назначается ряд исследований. Однако, драгоценное время уже упущено и патология переходит в осложненную форму. Именно по этой причине важно проходить профилактическое исследование хотя бы раз в год и делать флюорографию.
Флюорография и ее результаты
Флюорография является методом исследования грудной клетки, которое проводится с целью диагностики различных патологий. Существуют различные причины, при которых специалист может назначить пациенту проведение такого исследования. С помощью флюорографии удается выявить патологические процессы, происходящие в легочной области, которые на снимке представляют собой затемненную область.
Такой метод рентгенологического исследования считается совершенно безболезненным и практически безвредным. При его проведении на организм человека воздействует намного меньшая доза излучения, чем при иных методах диагностики. Проводить флюорографию для диагностики заболеваний органов дыхательной системы рекомендуется каждый год всем пациентам, достигшим возраста 18 лет. При выявлении у пациента таких патологий врач назначает дополнительные исследования для подтверждения поставленного диагноза.
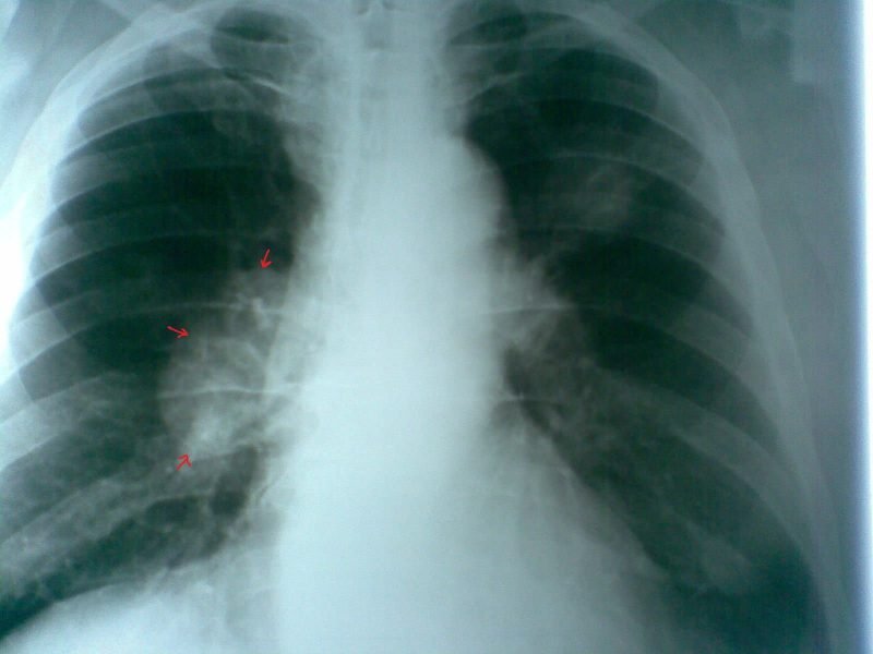
Рак на флюорографическом снимке

Существует ошибочное мнение, что невозможно увидеть рак легких на флюорографии. Флюорография позволяет выявить патологические процессы, происходящие в легких. Опытный специалист всегда обращает внимание на изображение, на котором наблюдается затемнение либо уплотнение.
В то же время быстро и легко выявить онкологию легких с помощью флюорографии удается не всегда. Поставить диагноз получается при достижении карциномой внушительных размеров и в том случае, если на снимке хорошо видно новообразование. Обычно это происходит при достижении опухоли легких последней стадии либо при нахождении человека в тяжелом состоянии, которое сопровождается развитием множества осложнений. При незначительном затемнении на флюорографическом снимке для подтверждения диагноза назначаются дополнительные исследования.
Флюорография может не показать злокачественное новообразование в легких и в том случае, если оно локализуется на поверхности, а не в глубине. При таком патологическом состоянии органа специалист назначает пациенту проведение рентгена, компьютерной либо магнитно-резонансной томографии, показывающие, как выглядит проблемная зона.
Такой метод исследования, как флюорография, может показать в легких, скопление в них жидкости и наличие очагов инфекционных поражений. Кроме этого, такой метод диагностики позволяет рассмотреть корни бронхов и легких, которые при различных патологиях могут быть уплотнены либо расширены.
Достоинства и недостатки методики
Флюорография как метод исследования обладает многими достоинствами, но в то же время имеет и недостатки. Такую процедуру можно применять в различных масштабах, то есть делать всем категориям населения в любом количестве. Флюорография является наиболее доступным методом диагностического исследования, что нельзя сказать о рентгене или компьютерной томографии.
Среди преимуществ флюорографии при диагностике рака легких можно выделить следующие:
- доступная стоимость оборудования;
- получение всегда точных данных;
- отсутствие необходимости специально готовиться к процедуре и делать дополнительные анализы;
- минимальная дозировка облучения и иных отрицательных излучений.
К минусам флюорографии при диагностике онкологических заболеваний рака легких можно отнести продолжительность процедуры, которая может достигать 60 и более секунд. Диагностическое исследование по изучению состояния легких рекомендует выполнять на голодный желудок, предварительно сняв с себя все аксессуары.
Медицинские центры все больше отдают предпочтение цифровой флюорографии, благодаря которой удается получить точный снимок и рассмотреть его в деталях. При таком методе диагностики применяются чувствительные сенсоры, что позволяет уменьшить дозу облучения на организм человека.
Многие пациенты считают, что флюорография вредна для здоровья человека. При такой процедуре применяется пониженная доза лучевой нагрузки, и само исследование продолжается несколько секунд. Многие болезни удается выявить лишь таким путем, поэтому не стоит игнорировать процедуру. При слишком маленьком размере злокачественной опухоли либо расположении глубоко в легких можно не заметить ее на снимке. При выявлении у пациента любых повреждений в легких назначаются дополнительные методы исследования, благодаря которым удается диагностировать рак легких.
Published at Mon, 15 Jan 2018 09:38:26 +0000


