Чем опасен рак надпочечников и какие у него признаки?

Рак надпочечников в последнее время обнаруживается все чаще. Связано это не столько с ростом заболеваемости, сколько с появлением современных способов обследования. Раньше люди умирали от онкологических заболеваний эндокринной системы, так и не узнав своего диагноза.
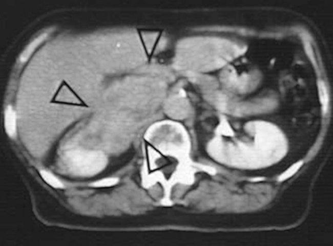
В настоящее время благодаря КТ и МРТ рак надпочечников может быть выявлен и устранен на ранних стадиях.
Это форма злокачественных новообразований составляет около 3% от всех онкологических заболеваний. Число проводимых операций по удалению опухолей надпочечников увеличивается с каждым годом. Чаще всего заболевание обнаруживается у женщин пожилого возраста, однако существуют и врожденные его формы.

Клиническая картина заболевания
Рак надпочечников обладает настолько разнообразными проявлениями, что диагностировать его бывает достаточно сложно. Признаки зависят от локализации, стадии и гистологических характеристик опухоли. Она может иметь как медленный, так и агрессивный характер развития.
Новообразования второго типа встречаются чаще. Симптомы заболевания связаны с гормональными нарушениями, происходящими в организме при поражении надпочечников. Подобные проявления зависят от того, какие именно клетки желез подверглись злокачественному перерождению.
Специфические признаки рака надпочечников возникают лишь в 10% случаев.
Ожирение, остеопороз в раннем возрасте, миопатия, артериальная гипертензия — все это наблюдается при злокачественных опухолях надпочечников. Если раковые клетки в женском организме выделяют мужские гормоны, тело пациентки начинает меняться:
- увеличивается объем мышц;
- грубеет голос;
- волосы на голове выпадают;
- на других участках тела наблюдается чрезмерный рост волосяного покрова.
Нарушение синтеза глюкокортикоидов способствует развитию синдрома Иценко-Кушинга. Это патологическое состояние сопровождается ожирением и повышением артериального давления. Опухоль надпочечников у детей способствует раннему половому созреванию. У девочек менархе наступает в возрасте 8-10 лет.
У взрослого человека наблюдается раннее угасание репродуктивных функций.
Кортикоэстрома способствует развитию мышечной дистрофии, при которой человек испытывает слабость и судороги. На поздних стадиях наблюдаются параличи и значительное повышение артериального давления. Феохромоцитома — крайне агрессивное злокачественное новообразование, отличающееся ранним метастазированием.

Аденокортикальная опухоль приводит к выработке избыточного количества кортикостероидов.
При смешанных формах наблюдается многогранная клиническая картина. Помимо специфических проявлений возникают и знакомые всем общие признаки раковой интоксикации организма — нарушение пищеварения, снижение аппетита, истощение организма, депрессивные расстройства, анемия, болевой синдром различной степени выраженности.
При поражении левого надпочечника риск образования вторичных очагов достаточно высок. Опухоль быстро достигает крупных размеров, раковые клетки обнаруживаются в регионарных лимфатических узлах. Аденокарцинома надпочечников — наиболее распространенный тип злокачественных новообразований данной локализации. Формируется на коре железы
Более половины таких опухолей со временем переходят в агрессивные формы, чего не происходит при поражении других органов. Рак надпочечника серьезно нарушает функции практически всех внутренних органов.

Односторонний характер патологического процесса наблюдается у людей старше 40 лет. При выполнении КТ и МРТ можно обнаружить то, что опухоль имеет четкие границы, как только она начинает ускоренно расти, можно заподозрить ее переход в более агрессивную форму.
Симптомы аденокарциномы также определяются выработкой избыточного количества гормонов. У мужчин наблюдается гинекомастия и снижение либидо, у женщин — рост мышечной массы и появление волос на лице. Ожирение наблюдается в любом случае, независимо от типа рака, пола и возраста пациента.
Наличие избыточного веса существенно затрудняет диагностику и лечение.
Риск развития аденокарциномы увеличивается при длительном приеме гормональных противозачаточных средств. Ее характерной чертой является спонтанное возникновение. Если аденокарцинома любого другого органа отличается медленным развитием, то с надпочечниками дело обстоит иначе.
Перерождение низкоонкогенной опухоли в агрессивную может произойти в любой момент. Именно поэтому важно вовремя обнаружить и устранить это новообразование.
Как выявляют это заболевание?

Опухоли надпочечников диагностировать достаточно сложно. Появление современных информативных способов обследования позволяет обнаружить рак на ранней стадии его развития.
УЗИ — наиболее простая и эффективная диагностическая процедура, позволяющая определить локализацию и размеры новообразования.
Кроме того, этот метод используется и для выявления вторичных очагов в близлежащих и отдаленных лимфатических узлах и органах. При наличии лишнего веса этот способ может оказаться недостаточно эффективным.
Анализ крови на гормоны отражает повышение уровня кортизола, ренина и хромогранина. Эти показатели позволяют оценить степень нарушения гормонального баланса организма. МРТ и КТ используются для обнаружения вторичных очагов
Дополнительно назначается суточный мониторинг колебания уровня кортизола и анализ на метанефрины. Эти процедуры позволяют обнаружить рак надпочечников на любой стадии его развития.
Существует несколько разновидностей злокачественных опухолей: эпителиальные (карцинома и аденокарцинома), новообразования мозгового слоя (нейробластома, ганглиома и феохромоцитома). Все они приводят к развитию осложнений, связанных с повышением артериального давления и дыхательной недостаточностью.
Способы лечения заболевания

Рак надпочечников лечится в основном гормональными препаратами. Если наблюдается гиперсекреция эстрогенов, в организм вводят мужские гормоны, и наоборот. Проводятся и хирургические вмешательства по удалению новообразований. На поздних стадиях назначается паллиативная терапия, облегчающая состояние неизлечимо больного человека и продлевающая его жизнь.
После обнаружения рака надпочечников пациент некоторое время находится под наблюдением врача, который разрабатывает наиболее эффективную схему лечения. В большинстве случаев назначаются радикальные операции с последующим медикаментозным лечением.
Перед операцией больной принимает гормональные препараты. Вмешательство может проводиться как абдоминальным, так и лапароскопическим способом.
Первая подобная операция была успешно проведена лишь 15 лет назад, поэтому способы лечения в настоящее время постоянно совершенствуются.
Период реабилитации обычно проходит без осложнений. Состояние организма улучшают с помощью гормональных препаратов и анальгетиков. Определить прогноз рака надпочечников заранее практически невозможно. Рецидивы случаются достаточно часто.
При своевременном начале лечения и соблюдении всех рекомендаций онколога шансы на выздоровление достаточно высоки. Однако справиться с некоторыми проблемами у пациента не получится. От ожирения, например, избавиться невозможно, ведь гормональные препараты человеку придется принимать пожизненно.
К привычному образу жизни можно возвращаться через 7-10 дней после операции, однако боли и слабость будут наблюдаться в течение нескольких месяцев. После завершения курса лечения показано проведение контрольного обследования.
Опубликовано: Thu, 09 Mar 2017 23:20:03 +0000
Источник


